頚動脈狭窄症
当院での取り組み
当院では50件/年の頚動脈手術(外科手術、血管内治療)を行っています。これまで計800件以上の豊富な手術経験から患者さんにとって最良の治療法を選択し、安全確実な治療を行います。短時間手術を実践し、術後合併症は2-3%と少ないのが特徴です。熟達した外科医と経験豊富な手術室、病棟スタッフが治療に当たります。


写真左:術前頚動脈狭窄所見
写真右:術後所見 外科手術によって頚動脈狭窄は改善している
頚動脈狭窄症とは
動脈硬化等が主な原因で、心臓から脳に血液を送る主要な通り道である頚部の動脈が狭くなることを言います。動脈硬化は、血管の壁の厚みが増すことから始まる現象で、年齢が上がるにつれて多少の変化は一般的に認められます。脂質の多い食事習慣や運動不足、体質的な要因、高血圧や糖尿病などの危険因子が加わった場合に、このような変化が更に進行し、「プラーク」と呼ばれる動脈硬化病変が形成されます。
症状
頚動脈狭窄症の患者さんでは、プラーク表面に出来た血液の塊(血栓)や、プラークの破片が血流に流されて、その先の脳血管が詰まると脳梗塞になります。また、狭窄率が高くなると、脳へ送る血流の勢いが低下することによって、脳梗塞になることもあります。典型的には、上下肢が動きにくい・力が入りにくい、半身の感覚がおかしい、呂律が回りにくい、言葉がでにくい、片眼が一過性に、黒い幕が降りてきたように見えにくくなる一過性黒内障、などがあります。大きな脳梗塞を起こした場合、重い後遺症が残ることがあります。
全く何も症状を呈さず、脳ドックなどの検査で偶発的に頚動脈狭窄が見つかることもあります。この場合、将来脳梗塞を発症する危険性を考慮し、検査・治療を検討することがあります。
検査方法
- 頚動脈エコー:狭窄率や血流の速度を評価
- 頭部MRI/MRA:頭蓋内の血流の状態、脳梗塞の既往など評価
- 頚部MRI/MRA:プラークの評価
- 造影CTA:病変の長さや高さ、石灰化の評価
- 核医学SPECT:脳血流の評価
治療方針
一般的にこれまで頚動脈狭窄症が原因で症状を起こしたことのある症候性、症状を起こしたことのない無症候性にわけて考えます。その際に主に考慮する点が、狭窄率やプラークの不安定性になります。狭窄率は概ね、高度≧70%、中程度69-50%、軽度<50%を目安とします。
Ⅰ症候性頚動脈狭窄症に対して
- 中等度から高度狭窄に対しては、抗血小板療法を含む最良の内科的治療に加えて外科手術や血管内治療を勧める。
- 軽度狭窄に対しては内科治療を優先する。頚動脈プラークの不安定化や潰瘍形成が認められる場合、対側病変などが認められる場合は外科手術や血管内治療を検討する。
Ⅱ無症候性頚動脈狭窄に対して
- 高度狭窄に対しては、抗血小板療法、降圧療法、脂質低下療法を含む最良の内科的治療による効果を十分検討した上で、外科手術や血管内治療を検討する。
- 軽度から中等度狭窄に対しては、内科治療を優先する。頚動脈プラークの不安定化や潰瘍形成が著しい場合、対側病変などが認められる場合は外科手術や血管内治療を検討する。
治療方法
治療には基本的に下記3通りの方法があります。
1)外科手術:頚動脈血栓内膜剥離術(CEA, carotid endarterectomy)
頚動脈血栓内膜剥離術とは、直接頚動脈に切開をおき、プラークを摘出する方法です。利点として病変部を摘出でき、脳梗塞などの手術合併症の頻度は2-3%と少ない治療法です。欠点は全身麻酔が必要なこと、手術に伴う合併症の可能性があることです。



写真上左:頚動脈狭窄部の血管を切開、露出
写真上右:プラークを摘出した後の血管内腔
写真下:剥離摘出したプラーク 内部に潰瘍や新しい血栓が認められ、不安定であることが分かった
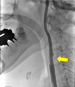
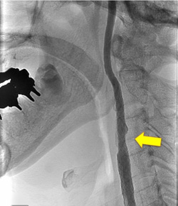
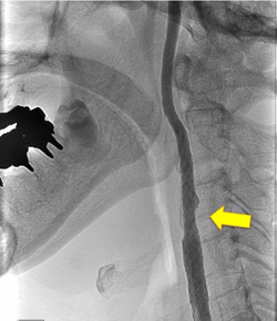
2)血管内治療:頚動脈ステント留置術(CAS, carotid artery stenting)
頚動脈ステント留置とは局所麻酔下にカテーテルを頚動脈に挿入し、狭窄部を拡張する治療です。利点は切開が必要ないこと、局所麻酔で治療可能なことです。欠点は病変部を取り出せないこと、手術と比較して脳梗塞や脳出血などの合併症が多い(5-6%)こと、穿刺部の痛み、仮性動脈瘤の可能性、稀に徐脈や血圧低下が継続することです。


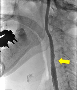
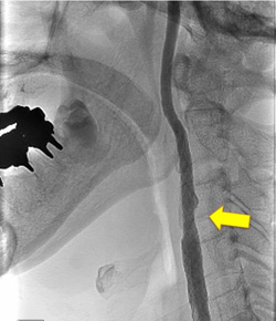
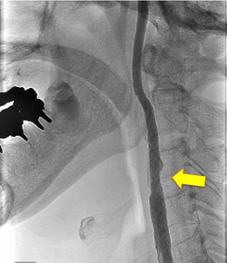
写真左:頚動脈狭窄所見
写真右:ステントを用いて狭窄部を拡張し治療
3)内科治療のみ:高血圧や糖尿病、脂質異常に対する内服治療、抗血小板薬の投与
狭窄度が軽度で不安定でないものに行います。狭窄の程度が強い場合、脳梗塞のリスクは高くなります。

