もやもや病
当院での取り組み
当院では、もやもや病の患者様が、県内はもちろん、県外から多く来院されております。もやもや病・閉塞性動脈硬化性疾患を合わせますと、頭蓋外頭蓋内バイパス手術、主に浅側頭動脈中大脳動脈バイパス術(STAMCAバイパス術)を中心に、年間約50件行っております。バイパス手術を安全に行うための十分な経験と設備を整えております。
また、小児例を数多く治療していることも特徴です。小児例は手術技術が難しいだけでなく、小児特有の専門的な管理を要します。当院では豊富な手術経験に加え、術後小児集中治療室で小児科との密な連携のもと管理するなど、高いレベルの治療を実現しています。
同時に、もやもや病の遺伝子研究も行っております。これらのバイパス手術の取り組み、合併症を予防する取り組みや遺伝子研究は、毎年国内国外の学会や英文論文で発表しております。
もやもや病とは
もやもや病とは、脳の血管が進行性に狭窄し、もやもや血管と呼ばれる細く脆い血管が新生する病気です。この病気は、国の難病指定を受けておりますが、近年、遺伝子変異の関与が分かってきましたが、まだ完全には原因が解明されておりません。
血管が細くなり十分な血流が供給されないことによる脳虚血(一過性脳虚血発作・脳梗塞)を起こしたり、脆いもやもや血管や異常な側副路に負担がかかることによって脳出血を起こします。近年、脳MRI検査の普及も進み、頭痛だけの人や無症状でみつかる人も増えております。
治療法には、後で詳しくは述べますが、バイパス手術が有効とされております。脳梗塞や脳出血を予防するために、バイパス手術を行います。
どんな症状がおこるの?
子供で発見される例は、大部分が脳虚血による症状ですが、成人で発見される例は、脳虚血と脳出血があると言われています。子供も大人のかたも多くの方は、脳梗塞の前段階である一過性脳虚血発作や小さい脳梗塞で発症します。一時的に手足が動かかない、言葉が出なくなる、呂律が回らなくなる、などといった症状です。子供の場合には、笛を吹いているときやラーメンを冷ましているときに、こういった症状がでることがあります。さらに小さい乳児だと、症状がわかりにくい場合があり、診断が遅れることもあります。ほかにも頭痛だけの症状やてんかん、しびれなどで見つかるかたもいます。一部の方は、大きい脳梗塞や脳出血を起こしてしまします。手足が動かない、言葉が出なくなる、意識障害などの症状を呈します。命にかかわることもあります。
そして、脳の血流が足りない状態が続いていると、また異常血管が発達したままだと、これらの脳梗塞や脳出血を繰り返し起こす場合がありますので、大きい後遺症につながる脳梗塞や脳出血を起こす前に、これらを予防するために手術を行うのが理想的です。
治療法は?バイパス手術とは?
治療方法は、直接バイパス術と間接血行再建術が挙げられます。
直接バイパス術は技術的に難しい反面、手術直後から高い治療効果があると言われています。頭皮の血管(主に、浅側頭動脈)を剥離し、頭の中の脳血管に顕微鏡を用い吻合することにより、脳の血流量を外から増やすバイパス手術を行います。浅側頭動脈中大脳動脈バイパス術(STAMCAバイパス術)といいます。バイパス術で脳の血流を増やすことにより、脳梗塞の再発する危険性を大きく減らすことできます。間接血行再建手術は、開頭し、血流に富んだ側頭筋や骨膜を脳表に置いてくる手術です。当然、技術的には簡単ですが、新生血管発達に数カ月を要し、さらに成人には効果が少ないという報告もあります。側頭筋による脳への圧迫、術後出血などが問題になることもあります。
当院では十分な血流増加が期待できる直接バイパス術を中心に手術を行います。頭皮の血管(主に、浅側頭動脈)を剥離し、頭の中の脳血管に顕微鏡を用い吻合することにより、脳の血流量を外から増やすバイパス手術を行います。浅側頭動脈中大脳動脈バイパス術(STAMCAバイパス術)といいます。バイパス術で脳の血流を増やすことにより、脳梗塞や脳出血の再発する危険性を大きく減らすことできます。
一定年齢以下の小児例に対しては、直接バイパス術に追加して間接血行再建術も同時に行います。特に進行が早く治療が難しい5歳以下のお子さんに対しても、直接バイパス術を含めた血行再建術を基本方針としており、間接血行再建手術だけ行うことは基本的にありません。
また、経過中に後方の血管の狭窄が進行するなど、更に病状が進行していくことがあります。その場合には、後頭部の血管(後頭動脈)を用いたバイパス手術を行うこともあります。
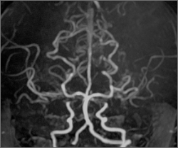
4歳女児症例 脳MRA検査
治療前
両側STAMCAバイパス術後
手術の合併症、過灌流症候群について
過灌流症候群とは、主なバイパス術後合併症の一つです。手術の効果で多くの血流がバイパスから脳へ入ってくれるのは良いことなのですが、急な血流の変化に脳が対応しきれず、一過性神経脱落症状や脳出血を稀に引き起こします。当院では過灌流症候を防ぐために、徹底した術後管理を行っています。例えば術後にはCTに加え、精密検査である脳血流検査(SPECT)を行っています。術中に行っている血流測定などの所見に加え、これらの検査結果を踏まえて血圧管理、鎮静管理などをICUで行い、重篤な脳出血を予防する取り組みを行っています。近年、これらの取り組みにより良好な成績をあげております。
感受性遺伝子RNF213について
もやもや病は遺伝素因とその他の環境要因の両方が関与していると言われています。2011年に、もやもや病感受性遺伝子RNF213が発見されました。しかし、この遺伝子変異のみでは、解決できない問題も未だ多く残っており、もやもや病の病態が完全に解明されたわけではありません。具体的には、もやもや病患者様の約8割は、この遺伝子変異を持っていますが、この遺伝子変異をもたない患者も少数ながらいること、もやもや病を発症していない人にも約2%の方はこの遺伝子変異をもっていること、人種差があること、などが挙げられます。またこの遺伝子の機能の多くも分かっていません。
当院でも、患者様の協力をいただき、病態解明に近づくべく、遺伝子を中心に研究を行っており、その成果は、学会発表、論文報告させていただいております。

